Wat gebeurt er in de dierenartsenpraktijk? 


Symptomen - Hoe herken ik een ooronsteking bij mijn hond? 

Elke hond reageert anders op oorontstekingen. Sommige honden zullen wrijven, krabben en met hun kop schudden, terwijl andere honden meer pijn ervaren.

 

Het oor kan licht ontstoken zijn, met milde zichtbare symptomen, tot een zeer pijnlijke infectie waarbij het oor rood wordt en afscheiding produceert.

Dit komt doordat er veel verschillende soorten otitis zijn met veel verschillende oorzaken. Sommige gevallen van otitis zijn niets anders dan milde ontstekingen, terwijl andere veroorzaakt worden door moeilijk uit te roeien, resistente bacteriën.

Deze beelden tonen verschillende stadia en vormen van oorontsteking.

Afbeeldingen (CWalker, ThePhotoVet)

Maak een afspraak met uw dierenarts wanneer u merkt dat uw hond klachten aan het oor heeft. Timing is van essentieel belang om een gecompliceerde situatie te vermijden. De mate van ontsteking heeft veel invloed op de medewerking van uw hond tijdens een ooronderzoek en het toedienen van medicatie.

Voorgeschiedenis – Hoe lang heeft uw hond al oorproblemen?

Om de oorzaak van het oorprobleem bij uw hond te achterhalen en verdere acties te plannen, moet uw dierenarts precies weten wat er gebeurd is. Dit kan tijdens uw eerste bezoek, maar het is niet ongebruikelijk dat dit gesprek pas bij een vervolgbezoek aan bod komt, als leidraad voor verdere acties.

 

Uw dierenarts zal vragen stellen over wanneer u de symptomen van uw hond voor het eerst opmerkte, of het een terugkerend probleem is of dat u het voor het eerst hebt ontdekt.

Als het een terugkerend probleem is, wil uw dierenarts meer weten over wanneer de vorige keer was en hoe het is aangepakt. Het is belangrijk dat u uw dierenarts informeert over eventuele oorreinigers of eerder voorgeschreven medicatie, zoals oordruppels, tabletten/orale oplossingen en injecties waarmee uw hond mogelijk behandeld is.

Vaak komt zwemmen en rennen in hoog gras ook ter sprake, net als de aanwezigheid van andere huisdieren in het huishouden en of uw hond regelmatig tegen teken en vlooien wordt behandeld. 

De dierenarts zal ook nieuwsgierig zijn naar de algemene gezondheid van uw hond en of u hem/haar heeft zien krabben, bijten, likken of wrijven op andere plekken op het lichaam. U kunt nooit te veel informatie geven!

Onderzoek – Waarom is het nodig om zowel het oor als andere delen van het lichaam te onderzoeken?

Het eerste gesprek wordt gevolgd door een lichamelijk onderzoek. Uw dierenarts beoordeelt de algehele gezondheid van uw hond en controleert de huid en vacht om zichtbare parasieten of tekenen van een algemener huidprobleem, zoals een allergische huidziekte of hormonale aandoeningen, op te sporen.

Honden vertonen vaak tekenen van allergische huidaandoeningen, vaak roodheid, tussen de tenen (zowel aan de boven- als onderkant van de poot), rond de ogen en mond en in de oksels en lies.

In de vroege stadia van een oorontsteking zullen de oorflap en de buitenste gehoorgang er rood uitzien en mogelijk een beetje gezwollen zijn, maar er komt meestal geen afscheiding (pus) uit. Naarmate de aandoening vordert, ziet het oor er wasachtig, vies, gezwollen en pijnlijk uit, en u kunt zelfs vies ruikend pus in de gehoorgang vinden.

CWalker ThePhotoVet (Left)

Onderzoek – Waarom is het nodig om zowel het oor als andere delen van het lichaam te onderzoeken?

Het eerste gesprek wordt gevolgd door een lichamelijk onderzoek. Uw dierenarts beoordeelt de algehele gezondheid van uw hond en controleert de huid en vacht om zichtbare parasieten of tekenen van een algemener huidprobleem, zoals een allergische huidziekte of hormonale aandoeningen, op te sporen.

Honden vertonen vaak tekenen van allergische huidaandoeningen, vaak roodheid, tussen de tenen (zowel aan de boven- als onderkant van de poot), rond de ogen en mond en in de oksels en lies.

In de vroege stadia van een oorontsteking zullen de oorflap en de buitenste gehoorgang er rood uitzien en mogelijk een beetje gezwollen zijn, maar er komt meestal geen afscheiding (pus) uit. Naarmate de aandoening vordert, ziet het oor er wasachtig, vies, gezwollen en pijnlijk uit, en u kunt zelfs vies ruikend pus in de gehoorgang vinden.

CWalker ThePhotoVet (above)

Otoscopie – Wat kan de dierenarts vinden met een otoscoop?

Dierenartsen gebruiken een otoscoop (de naam die aan het toestel wordt gegeven om in de gehoorgang te kijken) om het oor van uw hond te beoordelen. Dit is belangrijk om eventuele mijten, vreemd materiaal of bulten in de gehoorgang te kunnen detecteren, of om zweren op te sporen die de keuze van de behandeling kunnen beïnvloeden en het trommelvlies te bekijken. Een gescheurd trommelvlies maakt de zaken ingewikkelder en beïnvloedt het behandelplan van uw dierenarts.

Om een otoscopisch onderzoek te kunnen uitvoeren, reinigt uw dierenarts meestal eerst het oor van uw hond. De pijn die door otitis wordt veroorzaakt, kan dit soms moeilijk maken. Narcose kan dan nodig zijn, of u kunt naar huis worden gestuurd met wat pijnstillende of ontstekingsremmende medicatie voordat het onderzoek kan worden uitgevoerd.

Als het oorprobleem van uw hond chronisch is geworden, is er vaak een grondige oorspoeling nodig en moet uw hond onder algehele narcose gebracht worden.

Otoscopie – Wat kan de dierenarts vinden met een otoscoop?

Dierenartsen gebruiken een otoscoop (de naam die aan het toestel wordt gegeven om in de gehoorgang te kijken) om het oor van uw hond te beoordelen. Dit is belangrijk om eventuele mijten, vreemd materiaal of bulten in de gehoorgang te kunnen detecteren, of om zweren op te sporen die de keuze van de behandeling kunnen beïnvloeden en het trommelvlies te bekijken. Een gescheurd trommelvlies maakt de zaken ingewikkelder en beïnvloedt het behandelplan van uw dierenarts.

Om een otoscopisch onderzoek te kunnen uitvoeren, reinigt uw dierenarts meestal eerst het oor van uw hond. De pijn die door otitis wordt veroorzaakt, kan dit soms moeilijk maken. Narcose kan dan nodig zijn, of u kunt naar huis worden gestuurd met wat pijnstillende of ontstekingsremmende medicatie voordat het onderzoek kan worden uitgevoerd.

Als het oorprobleem van uw hond chronisch is geworden, is er vaak een grondige oorspoeling nodig en moet uw hond onder algehele narcose gebracht worden.

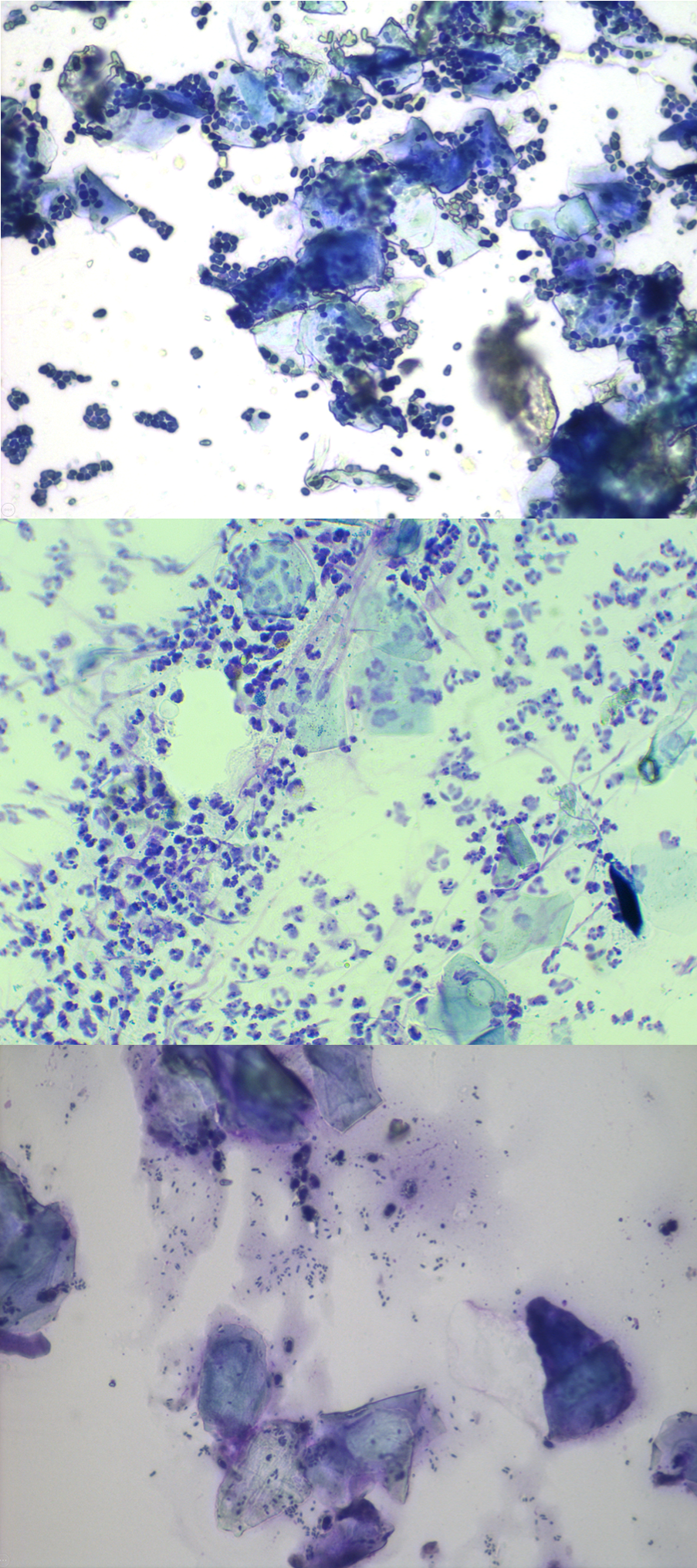
Cytologie – Waarom wil uw dierenarts een staal uit het oor afnemen?

De volgende aanbevolen stap in het onderzoek is het nemen van een staal van materiaal uit het oor van uw hond voor onderzoek onder een microscoop. Dit wordt cytologie genoemd.

Cytologie is een snelle, eenvoudig uit te voeren test die binnen de dierenartsenpraktijk kan worden uitgevoerd en die de dierenarts helpt te bepalen of er tekenen zijn van bacterië- of gistovergroei.

Met behulp van een borsteltje, een wattenstaafje of een vinger wordt materiaal uit de oren van uw hond verzameld en op een objectglaasje geplaatst. De staal wordt gekleurd met een speciale kleurstof, zodat uw dierenarts microscopisch kan onderzoeken wat er in het oor van uw hond gebeurt. Allemaal om te beslissen of er sprake is van een overgroei van bacteriën of gisten en om te zoeken naar ontstekingscellen die anders onzichtbaar zijn voor het menselijk oog. 

Cytologie – Waarom wil uw dierenarts een staal uit het oor afnemen?

De volgende aanbevolen stap in het onderzoek is het nemen van een staal van materiaal uit het oor van uw hond voor onderzoek onder een microscoop. Dit wordt cytologie genoemd.

Cytologie is een snelle, eenvoudig uit te voeren test die binnen de dierenartsenpraktijk kan worden uitgevoerd en die de dierenarts helpt te bepalen of er tekenen zijn van bacterië- of gistovergroei.

Met behulp van een borsteltje, een wattenstaafje of een vinger wordt materiaal uit de oren van uw hond verzameld en op een objectglaasje geplaatst. De staal wordt gekleurd met een speciale kleurstof, zodat uw dierenarts microscopisch kan onderzoeken wat er in het oor van uw hond gebeurt. Allemaal om te beslissen of er sprake is van een overgroei van bacteriën of gisten en om te zoeken naar ontstekingscellen die anders onzichtbaar zijn voor het menselijk oog. 

Door een staal te onderzoeken, kan uw dierenarts niet alleen een geschikte behandeling kiezen, maar het is ook nuttig om dit proces te herhalen tijdens een controleafspraak. Er kan dan worden bepaald of de behandeling succesvol is. Ook kunnen wijzigingen in de behandeling worden aangebracht om een langetermijnplan op te stellen voor het oorprobleem van uw hond.

Wereldwijd is men steeds meer bewust van resistentie tegen antibiotica. Maar er is nog een andere reden waarom (cytologisch) onderzoek belangrijk is. 

Dankzij de toegevoegde informatie die cytologie oplevert, heeft uw dierenarts de mogelijkheid om antibiotica te gebruiken:

  • alleen wanneer het nodig is
  • voor een beperkte duur

Meer info over waarom antibiotica niet altijd nodig zijn

Waarom wil de dierenarts cytologie uitvoeren?

Kweken en gevoeligheidstests – Wanneer is het noodzakelijk om een staal uit het oor van mijn hond af te nemen?

Wanneer de behandeling niet slaagt of wanneer niet duidelijk is om welke bacteriën het gaat, is het soms raadzaam om een staal naar een laboratorium te sturen om de bacteriën op kweek te zetten en zo te bepalen welk antibioticum geschikt zou zijn. In de meeste gevallen levert cytologie echter voldoende informatie op.

Behandelingskeuze – Hoe kiest de dierenarts een geschikte behandeling voor mijn hond?

Voor zowel ontstekingen als infecties van het oor zijn bij het team van uw dierenartsenpraktijk diverse producten verkrijgbaar. Zij zullen u helpen met het kiezen van het juiste product voor uw hond. 

Welke behandelopties zijn er en welke is het beste?

Dit zijn vaak oorreinigers of antiseptische oplossingen, ontstekingsremmende oordruppels of antibiotica/antischimmelhoudende oormedicatie.

Er zijn opties voor dagelijkse toediening of alternatieven voor langdurige toediening in de dierenartsenpraktijk.

Soms is er behoefte aan een orale behandeling of injecties. Als uw hond een vergevorderde chronische ooraandoening heeft, kan een uitgebreide operatie nodig zijn.

De reden voor de ruime keuze is dat er bij otitis geen oplossing is die past bij alle huisdieren.  Het kan zelfs zo zijn dat ieder afzonderlijk oor een andere aanpak vraagt!

Om te beslissen wat de beste behandeling is, houdt uw dierenarts rekening met de volgende factoren:

  • Mate van ontsteking
  • Woekering van bacteriën en gisten
  • Eventuele nationale richtlijnen voor de keuze van geneesmiddelen
  • Uw persoonlijke omstandigheden met betrekking tot de kosten en het gebruiksgemak

Zoals al aangegeven, verloopt een ooronsteking bij iedere hond anders. Dit is niet alleen van invloed op uw bezoek aan de dierenarts, het kan ook betekenen dat uw hond het toedienen van medicatie niet toelaat.

Er moet niet alleen rekening gehouden worden met de hond, maar ook met de baas. Voor sommige eigenaren zijn dagelijkse medicatie en oorreiniging helemaal geen probleem. Maar anderen kunnen er echter moeite mee hebben om het product in het oor in te brengen en sommige fysieke kenmerken van een product, zoals een kleine, lastige dop, kunnen van invloed zijn op het gebruiksgemak. 

Als de medicatie niet goed kan worden toegediend, heeft dit invloed op het succes van de behandeling. Bovendien neemt het risico van resistentie tegen antibiotica toe. 

Zoals u ziet, moet uw dierenarts op basis van veel verschillende gegevens overwegen hoe het oor van uw hond het beste behandeld kan worden. U kunt helpen door een duidelijke beschrijving te geven van de zorgen die u hebt over uw hond. Dit kunt u doen door de symptomen op te schrijven, evenals de resultaten van mogelijke eerdere behandelingen. 

 


keyboard_arrow_up